الأمل في فيتنام لمرضى سرطان عنق الرحم

مع ارتفاع حالات الإصابة بسرطان عنق الرحم في فيتنام، أصبح هناك خيار علاجي أفضل أخيراً: العلاج الإشعاعي الموضعي.

ما هو العلاج العضدي؟

  • أ من العلاج الإشعاعي
  • يُعرف أحيانًا باسم العلاج الإشعاعي الداخلي أو ما يُستخدم لعلاج سرطان البروستاتا ويسمى العلاج بالبذور.
  • يمكن استخدامه لعلاج العديد من أنواع السرطان، بما في ذلك سرطان عنق الرحم.
  • تقديم جرعات أعلى من الإشعاع إلى مناطق أكثر تحديدًا في الجسم مقارنةً بالأشكال التقليدية للعلاج الإشعاعي.
  • يستهدف الخلايا السرطانية بالإشعاع لمنعها من الانقسام والنمو.

كيف يساعد العلاج الإشعاعي الموضعي (BrachyTherapy)؟

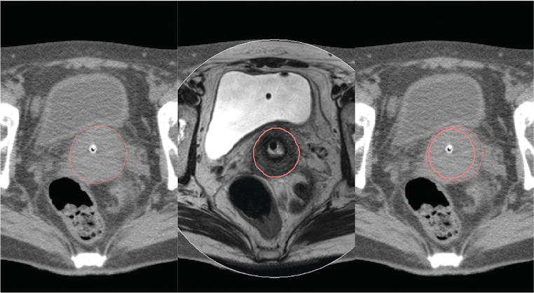
تتمتع مريضات سرطان عنق الرحم بفرصة أكبر للبقاء على قيد الحياة باستخدام العلاج الإشعاعي المكيّف الموجه بالصور (IGABT) مقارنة بالتقنيات التقليدية.

تستند النتائج إلى ”الدراسة الدولية حول العلاج الإشعاعي الموضعي القائم على التصوير بالرنين المغناطيسي في سرطان عنق الرحم” (EMBRACE I)* في عام 2008، ونشرت في عام 2021.

أجريت الدراسة التي أطلقتها شبكة GEC-ESTRO GYN من أجل تقييم نتائج العلاج الإشعاعي الإشعاعي الموضعي القائم على التصوير بالرنين المغناطيسي في بيئة متعددة المراكز.

”EMBRACE، العلاج الإشعاعي الكيميائي الإشعاعي الخارجيالمعدل الشدة الموجه بالصور والعلاج الإشعاعي الموضعيالتكيفي القائم على التصوير بالرنين المغناطيسيفي سرطان عنق الرحمالمتقدم محلياً، دراسات جماعية مستقبلية متعددة المراكز.

يعد علاج سرطان عنق الرحم أكثر دقة باستخدام المعالجة الكثبية تحت التصوير المقطعي المحوسب والتصوير بالرنين المغناطيسي، لأنه يستهدف الورم مع تجنيب الأنسجة السليمة.

لماذا العلاج الإشعاعي الموضعي؟

تقدم المعالجة الكثبية مزايا أكثر ومساوئ أقل مقارنة بعلاجات السرطان الأخرى.

العلاج المزايا
ثبت سريريًا فعاليته العالية احتمالية إنقاذ الأنسجة والأعضاء السليمة يمكن أن يتلقى العلاج في العيادات الخارجية يمكن إعطاؤه مع علاجات أخرى تقليل خطر الإصابة بالعدوى بعد الجراحة وقت تعافي أسرع إجراء لمرة واحدة
العلاج الإشعاعي الموضعي
العلاج الإشعاعي بالحزمة الخارجية (EBRT)
الجراحة (استئصال الرحم)
العلاج الكيميائي

ملاحظة: العلاج الإشعاعي الموضعي والعلاج الإشعاعي الموضعي بالليزر (العلاج الإشعاعي الموضعي) مكملان لبعضهما البعض في علاج مرضى سرطان عنق الرحم، وبالتالي لا ينبغي التحيز بينهما. استشيري الطبيب لاختيار أفضل تركيبة علاجية لحالتك.

العلاج العيوب
قد تحتاج إلى البقاء في المستشفى لتلقي العلاج يمكن أن تكون دورة العلاج طويلة وقت التعافي الطويل مخاطر الآثار الجانبية
العلاج الإشعاعي الموضعي (على أساس كل حالة على حدة)
العلاج الإشعاعي بالحزمة الخارجية (EBRT) 4-7 أسابيع وقد تشمل زيارات متكررة للمستشفى يوميًا الآثار الجانبية طويلة الأمد عند الجمع بين المعالجة الكثبية
الجراحة (استئصال الرحم) حتى أسبوع واحد 4-6 أسابيع
العلاج الكيميائي 3-4 أسابيع دورات، تتكرر 6 مرات كحد أدنى تساقط الشعر وزيادة خطر الإصابة بالعدوى